Phone Number

(303) 515-2320

Englewood, CO

701 E Hampden Ave #110, Englewood, CO 80113

Understanding Cervical Myelopathy: Causes, Symptoms, and Treatment

Cervical myelopathy is a condition that arises when there is compression on the spinal cord in the cervical spine (neck area). This medical condition can lead to a variety of neurological symptoms and, if left untreated, can significantly impact a person’s quality of life.

Understanding cervical myelopathy causes, symptoms, and treatment options for cervical myelopathy is essential for early diagnosis and intervention.

Causes

Cervical myelopathy is primarily caused by degeneration of the cervical spine as a person ages, which can lead to spinal stenosis or narrowing of the spinal canal. Some common causes include:

  1. Degenerative Disc Disease: As we age, the discs between the vertebrae can degenerate, losing their height and elasticity. This can lead to a narrowing of the spinal canal.
  2. Bone Spurs: These are bony projections that can form along the edges of bones, often seen in arthritis. In the cervical spine, bone spurs can press against the spinal cord.
  3. Herniated Discs: If a disc herniates, the inner gel-like core can push out against the spinal cord, causing compression.
  4. Trauma: Injuries to the neck, such as whiplash or fractures, can lead to instability and compression of the spinal cord.
  5. Congenital Conditions: Some individuals are born with a narrow spinal canal, making them more susceptible to developing myelopathy.

Symptoms

Cervical myelopathy can present a variety of symptoms that may develop gradually and worsen over time:

  • Neck Pain: Persistent or recurrent neck pain is common, often accompanied by stiffness.
  • Numbness and Tingling: Patients may experience these sensations in the arms, hands, or fingers.
  • Weakness: Muscle weakness in the arms or legs can develop, affecting fine motor skills like writing or buttoning a shirt.
  • Coordination Problems: Difficulty walking, frequent stumbling, or feeling unsteady are typical.
  • Loss of Balance: Some individuals may have a hard time maintaining balance, increasing the risk of falls.
  • Urinary Problems: In severe cases, patients might experience urinary urgency or incontinence.

Diagnosis

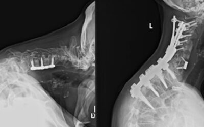
Diagnosing cervical myelopathy involves a combination of clinical examination and imaging studies. A healthcare provider will assess neurological function through tests that evaluate reflexes, muscle strength, and coordination. Imaging studies like MRI and CT scans are crucial for visualizing the extent of spinal cord compression.

Treatment Options

The treatment for cervical myelopathy depends on the severity of the condition and the underlying cause. Options may include:

  1. Conservative Management: For mild cases, treatment may involve medications for pain and inflammation, physical therapy to strengthen neck muscles, and lifestyle modifications.
  2. Surgical Intervention: For moderate to severe cases, surgery may be necessary to relieve pressure on the spinal cord. Common surgical procedures include decompression, laminectomy, or spinal fusion.
  3. Rehabilitation: Post-surgery or as part of conservative treatment, rehabilitation plays a crucial role in recovery, focusing on improving mobility and strength.

Conclusion

Understanding cervical myelopathy and recognizing that it is a serious medical condition that requires prompt attention and intervention is critical. Recognizing the symptoms early and seeking medical help can prevent further neurological damage and improve outcomes. Whether through conservative management or surgical intervention, addressing cervical myelopathy can lead to significant improvements in quality of life. If you suspect you have symptoms of cervical myelopathy, consult a healthcare professional for a comprehensive evaluation.

Expert Care in Englewood and Denver

If you’re experiencing symptoms of cervical myelopathy, it’s important to consult a specialist who understands the complexities of the spine and nervous system. Dr. Eric Arias is a board-certified neurosurgeon with an office in Englewood, Colorado, serving patients throughout the Denver metro area. With extensive experience in treating spinal conditions and brain tumors, Dr. Arias offers both traditional and minimally invasive surgical options tailored to each patient’s needs.

Early diagnosis and expert care can make a significant difference in improving quality of life. Schedule a consultation today to learn more about your treatment options.

Cervical Deformity: Causes, Symptoms, and Surgical Correction

Cervical Deformity: Causes, Symptoms, and Surgical Correction

Cervical deformity refers to abnormal alignment or curvature of the cervical spine. This condition can result from trauma, degenerative disease, congenital abnormalities, or previous surgeries. Left untreated, cervical deformity symptoms can lead to chronic pain,...

Cervical Myelopathy: Recognizing the Signs of Spinal Cord Compression

Cervical Myelopathy: Recognizing the Signs of Spinal Cord Compression

Cervical myelopathy is a serious condition caused by compression of the spinal cord in the neck. Unlike radiculopathy, which affects individual nerve roots, myelopathy impacts the spinal cord itself—leading to more widespread and potentially disabling symptoms. Learn...